on

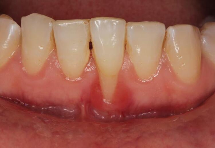
What Helps with Gum Recession?

Leave a comment

Your email address will not be published. Required fields are marked *